×
模态框(Modal)标题
在这里添加一些文本
关闭
关闭
提交更改
取消
确定并提交
×
模态框(Modal)标题
×
导航切换
国际医学放射学杂志
首页
期刊介绍
编委会
投稿指南
本刊稿约
本刊规范
开放获取声明
出版伦理规范
期刊订阅
广告合作
联系我们
English
图/表 详细信息
肝脏局灶性含脂病变的征象识别与诊断思路
徐辉, 史荣超, 李园秋, 杨大为, 杨正汉
国际医学放射学杂志, 2025, 48(
4
): 476-484. DOI:
10.19300/j.2025.J22352
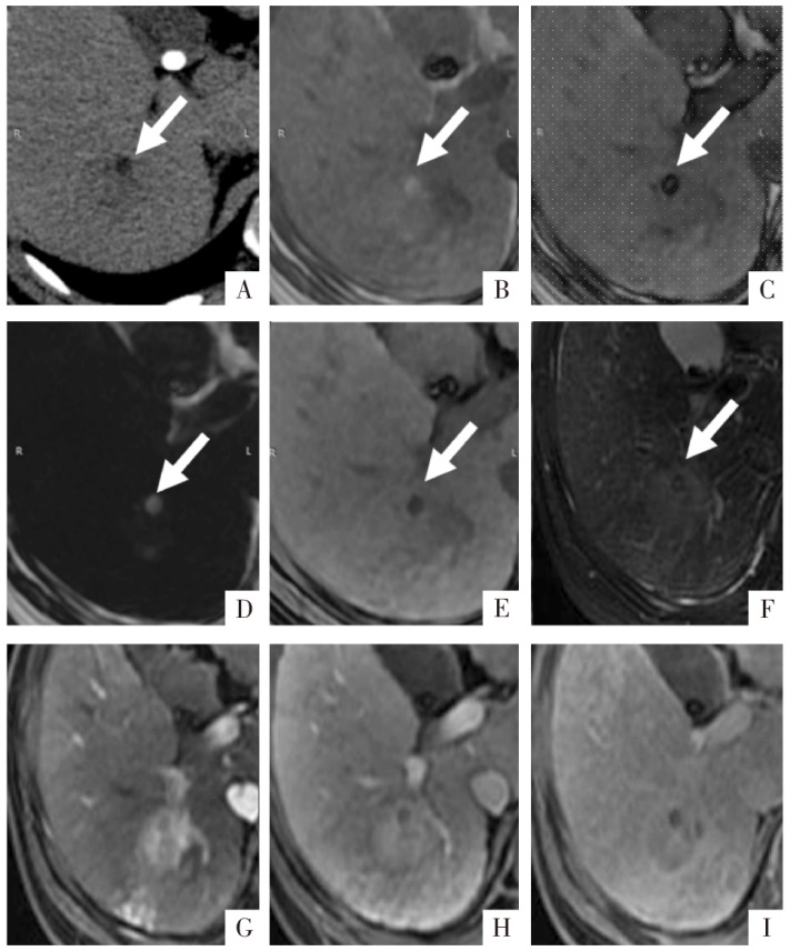
图5
病人男,41岁,肝细胞癌。A图,CT影像显示低密度病灶内极低密度区(白箭),测量CT值为-48 HU。B—E分别为T
1
WI同相位、反相位、脂像和水像,同相位为高信号,反相位可见高信号核心及勾边,形似小脂肪块。F图为T
2
WI,显示肿块呈轻中度稍高信号;G、H、I图分别为动脉期、门静脉期及延迟期影像,可见非周边的动脉期高强化、延迟期廓清以及强化包膜征象,以上为肝细胞癌典型征象。
本文的其它图/表
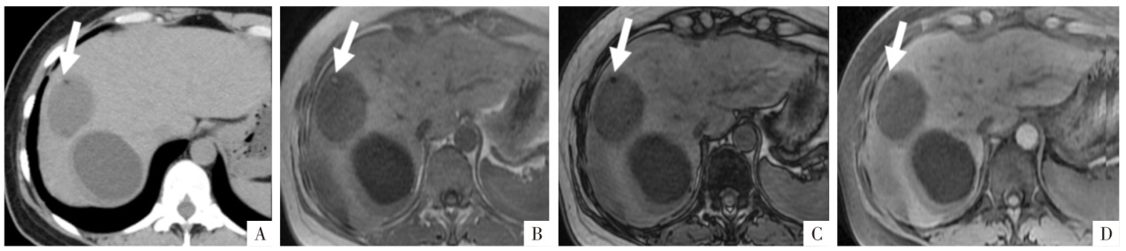
图1
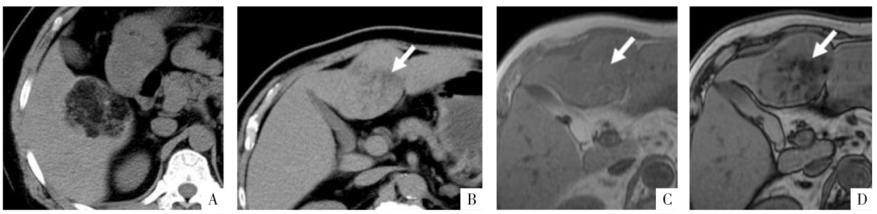
含脂成分的CT与MRI表现。A图,病人女,47岁,肝S5段的血管平滑肌脂肪瘤。CT平扫病灶内可见低密度区域,CT值约为-79 HU,容易确认为脂肪组织。B-D图,病人男,69岁,肝细胞癌脂肪变性。白箭所指为脂肪变性区域,CT平扫上局部呈相对低密度(B),CT值约16 HU,但难以确定为含脂成分;T
1
WI同相位上相应区域呈现稍高信号(C),反相位上相应区域信号明显衰减(D),可以明确判断为脂肪变性。
图2
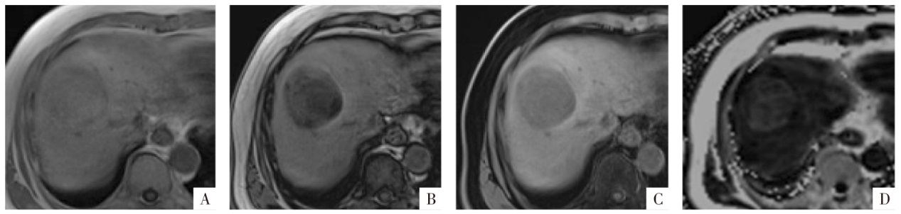
脂肪变性MRI表现。病人男,67岁,肝细胞癌,病灶整体存在较严重的脂肪变性。A—D图分别为三维GRE序列T
1
WI同相位、反相位、水像(即脂肪抑制像)和PDFF图,病变在反相位(B)上整体信号较同相位(A)减低,水像(C)显示病灶信号减低程度较反相位弱。PDFF图(D)上相应病灶信号增高,PDFF约为16%。
图3
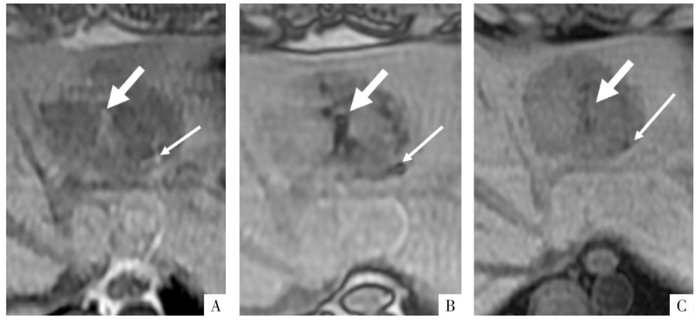
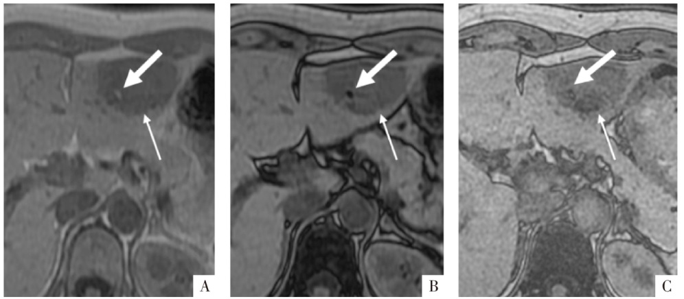
脂肪组织MRI表现。病人女,50岁,上皮样血管平滑肌脂肪瘤,病灶内含有小块的脂肪组织(粗、细箭头)。A、B、C图分别为三维GRE序列T
1
WI同相位、反相位、水像(即脂肪抑制像),显示相应脂肪组织在同相位(A)为高信号,反相位(B)中心为高信号,周边环形勾边,脂肪抑制像上病灶信号减低(C)。
图4
病人女,42岁。手术病理证实为肝左外叶上皮样血管平滑肌脂肪瘤(细箭),内有直径约5 mm小块脂肪(粗箭)。A、B图分别为厚层同相位及反相位影像,层厚6 mm,矩阵256×180,同相位影像上含脂区域呈高信号(A),反相位影像上为含脂区域整体信号衰减(B),易误判为脂肪变性;C图为薄层高分辨力反相位影像,层厚3 mm,矩阵320×288,含脂区域中心仍呈高信号,周围可见勾边,为小脂肪块的典型表现。
表1
不同含脂类型对应的肝脏局灶性病变
图6
病人男,35岁,局灶性脂肪肝。A、B图分别为T
1
WI同相位、反相位,反相位影像上肝S4段片状的信号均匀减低,边界清楚(白箭)。
图7
病人女,51岁,弥漫多灶分布的局灶性脂肪肝。A—D图分别为T
1
WI反相位、同相位、脂像和水像,反相位影像上肝内多发的小点状的信号减低区,脂像上相应区域为高信号,为多灶性脂肪肝。
图8
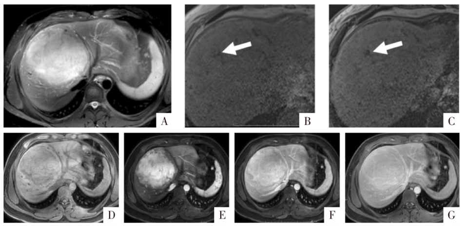
病人女,63岁,发生脂肪变性的肝细胞癌。A图,T
2
WI上显示肝S8段轻中度高信号肿块。B、C、D图分别为同相位、反相位及脂像,反相位见一信号减低区域(白箭),相应区域在脂像呈明显的高信号,为病灶内的脂肪变性。E—H图分别为钆塞酸二钠增强扫描蒙片、动脉期、门静脉期及肝胆期影像,见非周边的动脉期高强化、廓清,病灶整体在肝胆期的信号要低于周围肝组织。
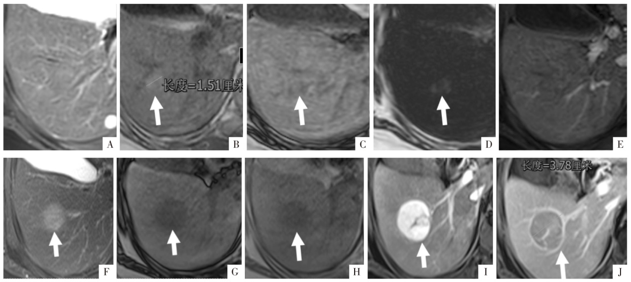
图9
病人女,67岁,慢性乙肝病史20余年,甲胎蛋白阴性,肝硬化背景中含有脂肪变性的结节(白箭),进展为肝细胞癌。A—D图分别为T
2
WI、T
1
WI同相位、反相位及脂像,同相位可见直径约1.5 cm脂肪变性结节,T
2
WI未见显示;E图为动脉期影像,未见强化。F—J图分别为3年后复查T
2
WI、T
1
WI反相位、T
1
WI同相位、增强扫描动脉期及静脉期影像,显示病灶增大至3.8 cm,脂肪变性消失,可见非周边的动脉期高强化、廓清以及强化包膜征象,呈现典型肝细胞癌征象。
图10
病人女,37岁,体检发现肝内多发肿块,肿瘤标志物阴性,诊断为H-HCA。A图,T
2
WI上病变呈稍高信号,部分病变显示欠清;B、C图分别为T
1
WI同相位及反相位,反相位见肝内多发信号减低区(箭头);D、E、F图分别为增强扫描蒙片、动脉期、门静脉期影像,可见病灶动脉期明显高强化,静脉期廓清,征象类似肝细胞癌的“快进快出”。
图11
病人男,25岁,查体发现肝肿块3年余,肿瘤标志物阴性。手术病理诊断为含局灶性重度脂肪变性的FNH。A图,T
2
WI上病变呈稍高信号肿块,B、C图为同反相位,病变内部同相位呈稍高信号,反相位表现勾边效应,类似“小脂肪块”(箭头);D—G图分别为蒙片、动脉期、门静脉期及延迟期影像,病灶呈动脉期略不均匀高强化,但无廓清。
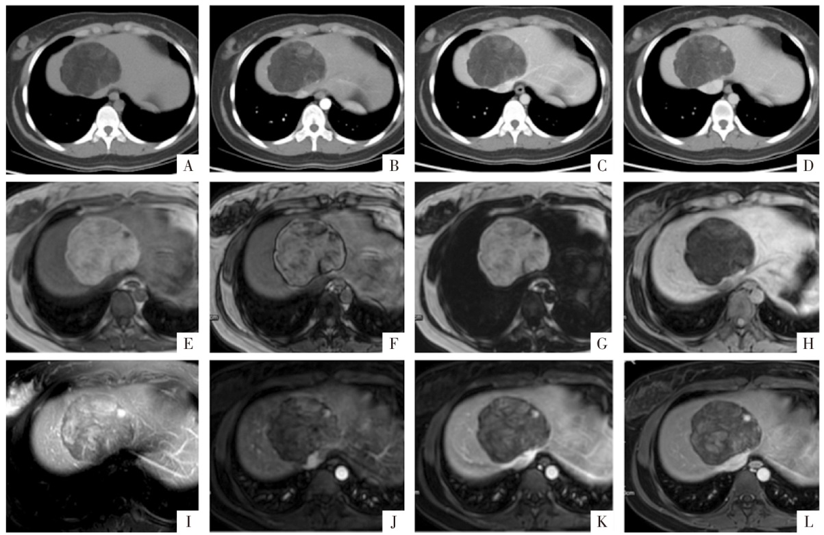
图12
病人女,25岁,HAML。A—D图分别为CT平扫、动脉期、门静脉期及延迟期影像,平扫CT值约-70 HU,增强扫描病变内软组织成分渐进性强化,部分点状结构延迟期强化较明显;E—H图分别为同相位、反相位、脂像及水像,病变基本以脂肪组织为主,反相位可见勾边效应;I图,T
2
WI上显示病变内信号混杂;J、K、L图分别为增强扫描动脉期、门静脉期、延迟期影像,强化特征同CT增强扫描,其中灶状明显强化的成分在T
2
WI上呈明显的高信号,为血管成分。
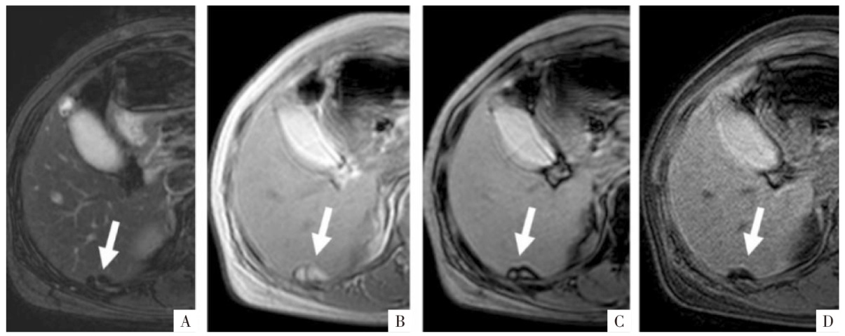
图13
病人女,53岁,Glisson包膜下假性脂肪瘤。A图为T
2
WI,B、C、D图分别为同、反相位及水像(脂肪抑制像),病变表现为右肝后缘包膜下梭形影,同相位高信号,反相位勾边效应,脂肪抑制影像上病变整体呈低信号(白箭)。随访5年无变化。
图14
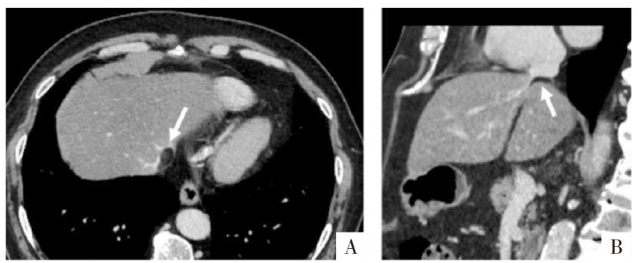
病人男,45岁,下腔静脉旁假性脂肪瘤。A图,CT横断面显示似下腔静脉内充盈缺损(箭头);B图,矢状面多平面重组显示脂肪组织位于下腔静脉旁,挤压下腔静脉(箭头)。
图15
病人女,45岁,含脂滴的肝包虫囊肿。A图,CT 显示肝内2个囊性灶,其中一个囊性灶内见低密度脂滴(白箭);B、C、D图分别为T
1
WI同相位、反相位及水像,相应脂滴T
1
WI呈高信号,反相位及水像脂滴信号减低(白箭)。
表2
肝脏局灶性含脂病变的影像特征和其他诊断因素