×
模态框(Modal)标题
在这里添加一些文本
关闭
关闭
提交更改
取消
确定并提交
×
模态框(Modal)标题
×
导航切换
国际医学放射学杂志
首页
期刊介绍
编委会
投稿指南
本刊稿约
本刊规范
开放获取声明
出版伦理规范
期刊订阅
广告合作
联系我们
English
图/表 详细信息
不典型Todd瘫痪误诊为缺血性卒中1例
邓启明, 施寒星, 张鑫, 王正阁
国际医学放射学杂志, 2025, 48(
5
): 604-605. DOI:
10.19300/j.2025.B22119
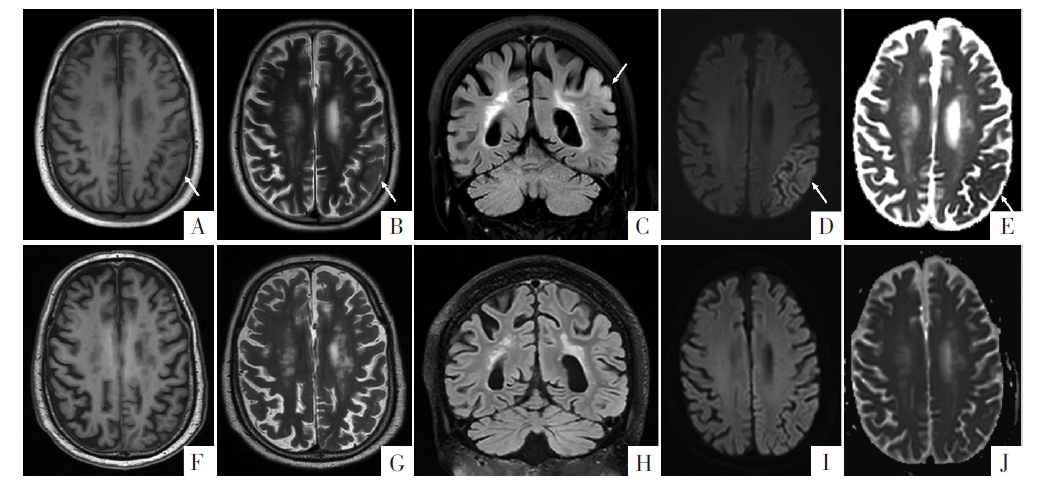
图1
头颅MRI影像。A-E图分别为T
1
WI、T
2
WI、FLAIR、 DWI和ADC图。F-J图为治疗后影像,异常信号消失。
本文的其它图/表
图2
头颅CTA和CTP影像。A图为CTA容积再现(VR重建)。B、C图为CTP影像,B图为脑血流量,C图为脑血容量。