×
模态框(Modal)标题
在这里添加一些文本
关闭
关闭
提交更改
取消
确定并提交
×
模态框(Modal)标题
×
导航切换
国际医学放射学杂志
首页
期刊介绍
编委会
投稿指南
期刊订阅
广告合作
联系我们
English
图/表 详细信息
恶性软组织血管周围上皮样细胞瘤的影像学表现
彭一檬, 陈荣, 李勇
国际医学放射学杂志, 2025, 48(
5
): 593-598,603. DOI:
10.19300/j.2025.Z22004
图8
病人男,67岁,腹膜后间隙DDLPS。A-C图分别为横断面T
1
WI、T
2
WI-FS、T
1
WI-FS,可见腹膜后团块状影,T
1
WI上呈稍高、低信号,T
2
WI-FS上呈高低混杂信号;增强后实性成分呈不均匀显著强化,可见不强化区。
本文的其它图/表
图1
病人女,23岁,下肢软组织恶性PEComa,伴
TFE3
重排。A图为肿块横切面彩色多普勒超声图,B图为频谱超声图。软组织内可见较均匀低回声肿块,边缘光整,血流丰富,以周边分布为主,大小约8.0 cm×7.0 cm;收缩期峰值(Vmax)为26.1 cm/s,舒张末期血流速度(Ved)为8.2 cm/s,阻力指数(RI)为0.69,呈中阻频谱。
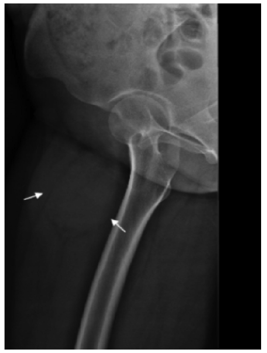
图2
病人女,23岁,右下肢软组织恶性PEComa,伴
TFE3
重排。X线平片显示软组织内团块状密度增高影,周围可见透亮影。
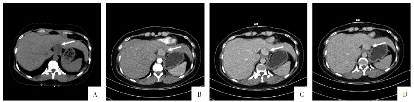
图3
病人女,34岁,腹腔恶性软组织PEComa,伴
TFE3
重排。A—D图依次为CT平扫、增强动脉期、静脉期及延迟期影像。肝胃间隙见一大小约2.9 cm×2.4 cm×3.7 cm的稍低密度结节影,CT值为17~27 HU,动脉期明显强化,CT值为69~91 HU,静脉期CT值为99~135 HU,延迟期CT值为90~105 HU。
图4
病人女,23岁,右下肢软组织恶性PEComa,伴
TFE3
重排。A—F图分别为冠状面T
1
WI、T
2
WI-FS,横断面T
2
WI、T
2
WI-FS、DWI、ADC图。可见大腿前内侧肌间隙内团块状异常信号,T
1
WI上呈等信号,T
2
WI、T
2
WI-FS呈不均匀高信号,DWI呈部分高信号,ADC图呈低信号;肿块大小约5.9 cm×7.0 cm×7.4 cm,邻近的缝匠肌、股直肌及髂腰肌均受推挤,但无侵袭表现。
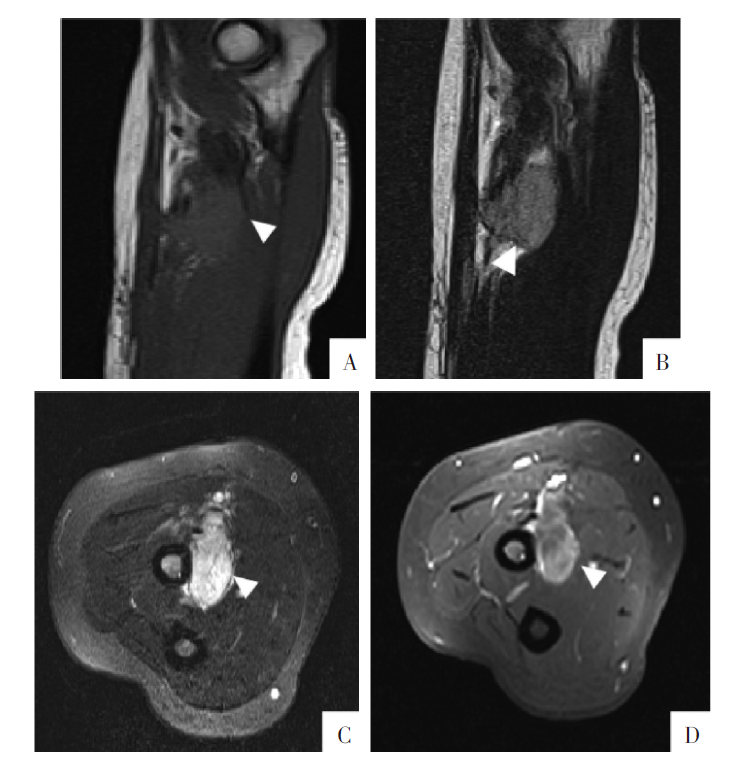
图5
病人女,51岁,肘关节软组织透明细胞肉瘤。A图,矢状面T
1
WI上可见桡骨近端内侧软组织内占位,信号略高于肌肉。B、C图分别为矢状面T
2
WI和横断面T
2
WI-FS,可见病灶内条、线状低信号。D图,横断面增强影像显示病灶不均匀强化。
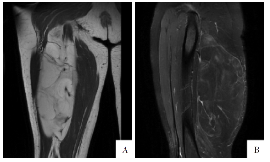
图6
病人女,47岁,右侧大腿软组织ALT/WDLPS。A图,冠状面T
1
WI影像上可见软组织团块状高信号,与皮下脂肪组织信号相近,病灶边缘清楚,内部见低信号分隔影。B图,矢状面T
1
WI-FS影像上显示病灶内高信号明显减低。
图7
病人男,56岁,左侧髋部软组织MLPS。A—C图分别为冠状面T
1
WI、横断面T
2
WI、T
2
WI-FS,显示软组织团块状、大理石样外观,T
1
WI、T
2
WI-FS呈混杂信号,T
2
WI呈高信号。
表1
含脂肪或黑色素成分的各类软组织肿瘤的大致特点及MR表现