模态框(Modal)标题

在这里添加一些文本

模态框(Modal)标题

  • Home
  • About Journal
  • Editorial Board
  • Guide to Authors
  • Subscribe
  • Advertisement
  • Contacts us
  • 中文

Figure/Table detail

Mixed neuroendocrine-non-neuroendocrine neoplasm of the gallbladder with liver metastasis: a case report
CHEN Mingtian, ZHAO Xiaoying, SONG Yujiao, ZHAO Xinxiang
INTERNATIONAL JOURNAL OF MEDICAL RADIOLOGY, 2025, 48(5): 608-610.   DOI: 10.19300/j.2025.B22122

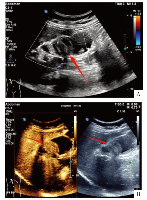
图1 胆囊病变的腹部超声影像。A图为腹部超声影像,B图中左图为超声造影影像,右图为灰阶超声影像。图中箭头示胆囊病灶。
Other figure/table from this article
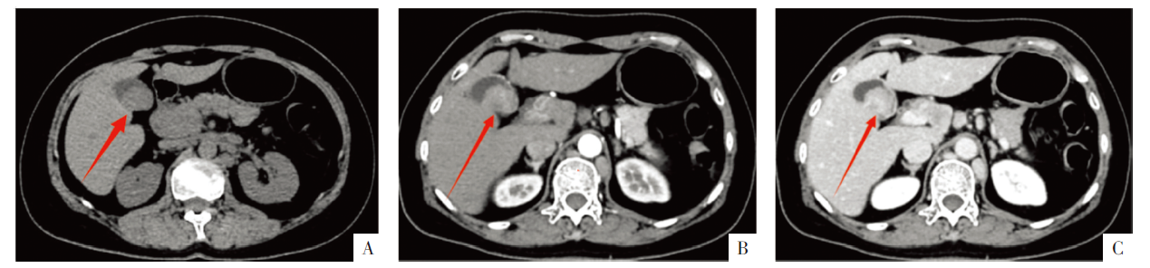
  • 图2 胆囊病变的CT影像。A图为平扫CT,B、C图分别为增强CT动脉期和静脉期影像。箭头示胆囊病灶。
  • 图3 胆囊病变的MRI影像。A—C图分别为T2WI、DWI、ADC图,D图为增强MRI静脉期影像。箭头示胆囊病灶。
  • 图4 肝脏病变的MRI平扫及增强影像(以肝右后叶上段病灶为例)。A、B图分别为T1WI、DWI影像,C、D图分别为增强MRI移行期、肝胆期影像。箭头示胆囊病灶。
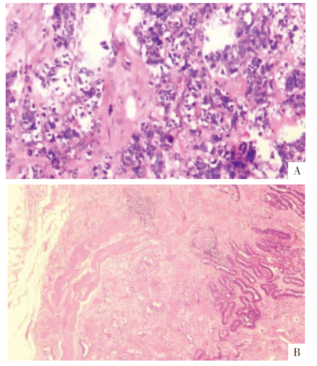
  • 图5 胆囊术后病理图。A图为大细胞神经内分泌癌,B图为中分化腺癌(HE,×400)。
津ICP备05004273
Copyright © INTERNATIONAL JOURNAL OF MEDICAL RADIOLOGY, All Rights Reserved.
Tel: 022-23337523,022-27557576 E-mail: gjyxfsx@gjyxfsx.com
Powered by Beijing Magtech Co. Ltd