×
模态框(Modal)标题
在这里添加一些文本
关闭
关闭
提交更改
取消
确定并提交
×
模态框(Modal)标题
×
导航切换
国际医学放射学杂志
首页
期刊介绍
编委会
投稿指南
期刊订阅
广告合作
联系我们
English
图/表 详细信息
胃异位胰腺并发血肿机化、囊肿形成1例
万翠霞, 张思裕, 陈湘光
国际医学放射学杂志, 2025, 48(
4
): 485-486. DOI:
10.19300/j.2025.B22133
图2
超声内镜影像。A图为内镜下影像,B图为超声影像。可见胃窦隆起性病变,起源于黏膜下层。
本文的其它图/表
图1
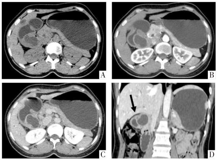
腹部平扫及增强CT影像。A-C图分别为平扫、动脉期和静脉期横断面影像。D图为静脉期冠状面影像,箭头示“脐凹征”。
图3
术后病理图。A图为大体图,B图为镜下图:胃组织内异位胰腺伴间质小血管增生、淤血(HE,×100)。